Wybrany został dział "Efekty leczenia". Zobacz także dział "Gabinet".
Wszystkie zdjęcia przypadków pochodzą z naszej praktyki stomatologicznej.

nawigacja: (<-- poprzednie) (następne -->) lub kliknij na zdjęcie aby zobaczyć następne.


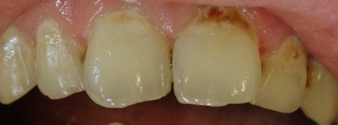
Pacjent zgłosił się z powodu nieestetycznych przebarwień i próchnicy w odcinku przednim. Założono "niewidoczne" wypełnienia.

przed leczeniem:


po leczeniu:
www.estedens.pl | www.dentysta-zabrze.com.pl | www.stomatolog-zabrze.com.pl | kontakt (c) 2012 Estedens.pl
Stomatologia estetyczna i stomatologia zachowawcza - dentysta Zabrze. Endodoncja, stomatolog Zabrze (blisko Bytom, Gliwice, Ruda Śląska). Protetyka, endodoncja mikroskopowa, leczenie kanałowe pod mikroskopem, radiologia, RVG, radiowizjografia. Chirurgia stomatologiczna, periodontologia, biżuteria nazębna, leczenie zębów dzieci, wybielanie zębów, dentysta Gliwice, woj. śląskie.